Fig. 5
From: Fibrosing pneumonia – how to diagnose, and how to recognize the etiology?

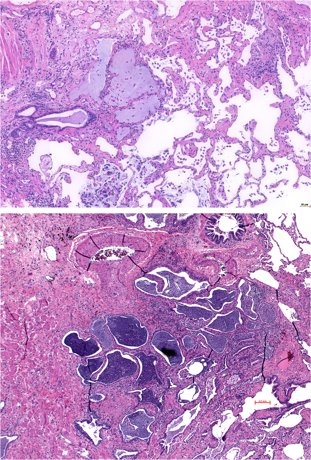
Mucostasis, in the cystic structures in UIP; in the upper panel there is mucus accumulation with a few scattered macrophages; in the lower panel there is dense spissated mucus, macrophages and scattered neutrophils; this usually is a sign of bacterial colonization. There are also aggregates of lymphocytes around the cysts, which later on can progress into lymph follicles. H&E, bars 50 and 200 μm