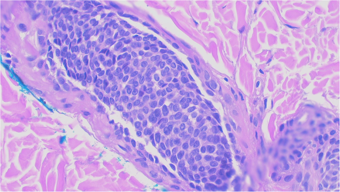
Fig. 11From: Interesting overlooked findings in melanocytic neviSuspicious for vascular invasion Hematoxylin and eosin 400XBack to article page