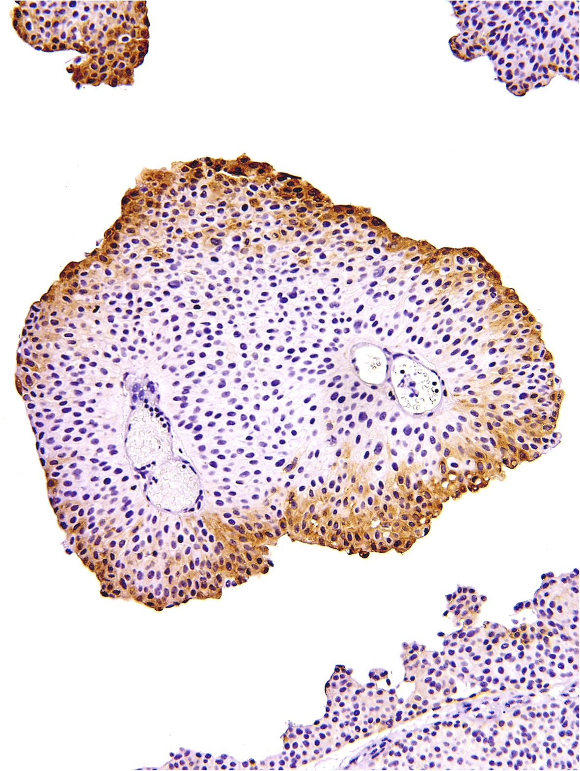
Fig. 3
From: The papilla as a biomarker in the molecular era of bladder oncology

Papillary urothelial lesion immunostained for phosS6 (Ser 235/236), 40x. This protein serves as a surrogate for mTOR activation. Its expression is shown in superficial well differentiated cells of a papillary neoplastic structure